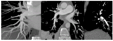
Paciente do sexo feminino, 32 anos, em uso de anticoncepcional com baixa dose hormonal deu entrada no serviço de imagem para realização de tomografia computadorizada do tórax devido à discreta dor torácica na base direita que piorava a ventilação. Na tomografia de tórax foi achada a imagem de consolidação em contato com a pleura associada a discreto derrame pleural em correspondência.

Baseado nas imagens disponibilizadas, qual a sua conduta como radiologista e o seu diagnóstico?