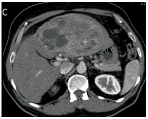
Paciente de 61 anos, sexo feminino, apresenta quadro de dor abdominal incaracterística há cerca de
2 meses, acompanhado de vermelhidão facial eventual, emagrecimento. O exame físico do abdome
parecia normal, com discreto aumento indolor do fígado. Sem sinais clínicos ou laboratoriais de icterícia.
Chega ao hospital já com propedêutica avançada, porém, ainda sem diagnóstico. Entre os exames,
há vários marcadores tumorais (CEA e CA 19-9 normais, cromogranina A elevada, e Ácido 5-Hidroxi
indolacético aumentado), enzimas hepáticas normais e uma tomografia computadorizada que gerou a
imagem abaixo:

Em relação a esse caso, o diagnóstico mais provável é

Em relação a esse caso, o diagnóstico mais provável é