Magna Concursos
2199692 Ano: 2022
Disciplina: Odontologia
Banca: DIRENS Aeronáutica
Orgão: CIAAR
Provas:

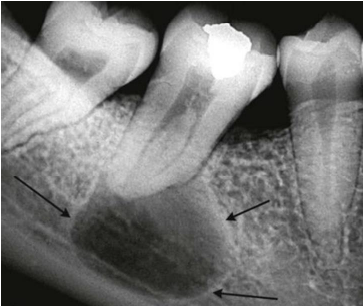
O exame radiográfico abaixo mostra imagem radiolúcida unilocular bem delimitada na região periapical do dente 47.

As setas pretas apontam para o halo radiopaco que circunda a lesão.

Enunciado 3326369-1

Fonte: Disponível em: https://pocketdentistry.com/21-cysts/#st0060. Acesso em 16/04/2022

A imagem radiográfica apresentada é compatível com as seguintes lesões:

 

Provas

Questão presente nas seguintes provas

CADAR - Estomatologia

60 Questões