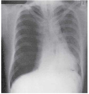
Paciente de 30 anos, masculino, tabagista e usuário de maconha,
deu entrada no Posto de Saúde com quadro de dor torácica de
início súbito (sem história de trauma recente), dispneia,
taquipneia, PA 100x70 mmHg, FC 110 bpm com ritmo sinusal.
Realizada radiografia de tórax, representada na imagem abaixo.

Assinale a opção que apresenta a principal hipótese diagnóstica para o caso.
Realizada radiografia de tórax, representada na imagem abaixo.

Assinale a opção que apresenta a principal hipótese diagnóstica para o caso.