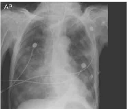
Paciente masculino, 70 anos, internado na UTI há 4 dias
com acidente vascular cerebral isquêmico, apresentou episódio
importante de aspiração alimentar. A radiografia de tórax foi
solicitada e realizada cerca de 12h após o ocorrido, sendo
observado o resultado com a imagem a seguir:

O quadro pulmonar apresentado é compatível com:

O quadro pulmonar apresentado é compatível com: