Analise o enunciado abaixo para responder às questões 45 a 49.
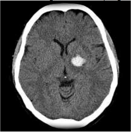
Mulher de 54 anos, tabagista, com diagnóstico de hipertensão e diabetes prévio, cursou de forma súbita com hemiparesia proporcionada completa à direita. Procurou serviço de emergência, vigil, consciente, disártrica, desorientada em tempo e orientada em espaço, obedecendo comandos, sensibilidade, coordenação sem alterações, NIHSS 10. Após 1h30 do ictus realizou tomografia de crânio (imagem).

Tomografia de crânio com volume estimado do hematoma menor que 30ml
A respeito dos alvos terapêuticos e medidas iniciais no manejo do AVC hemorrágico agudo, assinale a alternativa incorreta.