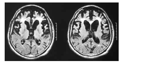
Uma mulher de 55 anos de idade, sem comorbidades, há três anos começou a apresentar distúrbio do comportamento, comprometimento do senso moral, da autocrítica, do poder de abstração e da memória. No exame, ela pouco colaborava com o examinador, possuía uma rigidez axial e apendicular, além de sutil tremor em repouso. O exame de imagem (RNM) a seguir foi realizado para auxiliar o diagnóstico.

Com base nesse quadro clínico, julgue os itens subsequentes.