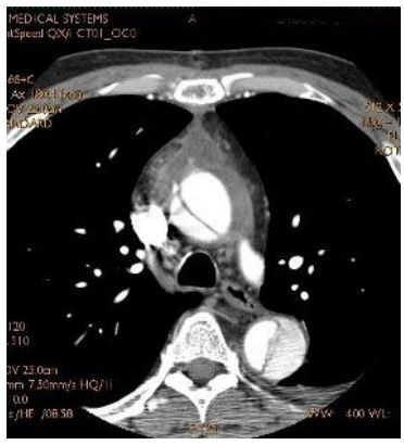
Paciente com dor torácica de forte intensidade há 3 horas, dá entrada no Pronto Socorro com PA= 120x80mmHg, FC= 80bpm, pulsos distais todos presentes e simétricos, sem alterações relevantes em ausculta cardíaca e pulmonar. Foi realizada tomografia de tórax apresentada abaixo:

A conduta para este caso é: