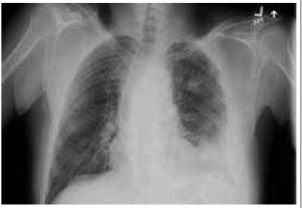
Uma paciente CLA, feminina, de 67 anos de idade, apresenta quadro de pneumonia bacteriana adquirida na comunidade. Durante internação para tratamento com antibioticoterapia endovenosa, evoluiu com manutenção de quadro inicial de dor pleurítica e com febre no 3.º dia de internação; seus exames laboratoriais estão sem alterações. Foram feitos exames complementares, conforme se vê na imagem a seguir. Foi realizada toracocentese, a qual evidenciou líquido purulento, pH < 7,20; DHL > 1.000 UI/L; e glicose < 40 mg/dL com bactérias presentes e cultura positiva.

Com base nesse caso hipotético, assinale a alternativa correta.
Provas
Questão presente nas seguintes provas
Residência em Medicina - Clínica Médica
50 Questões
Residência em Medicina - Endoscopia
50 Questões