Magna Concursos
3654137 Ano: 2025
Disciplina: Medicina
Banca: VUNESP
Orgão: UNIFESP
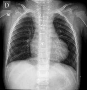
Paciente de 1 mês de idade foi admitido em Unidade de Terapia Intensiva, acompanhada de cuidadora de abrigo, devido à piora da cianose. Mãe drogadita perdeu guarda dos 6 filhos. A saturação na Unidade manteve-se estável, ao redor de 84%, sem insuficiência cardíaca congestiva, em uso de propranolol; foi acompanhado no ambulatório até os 2 anos de idade e realizada intervenção cirúrgica cardíaca. Com base nos seguintes exames complementares, quais seriam, sucessivamente, a cardiopatia congênita provável, a cirurgia realizada aos 2 anos de idade e a cirurgia atual para a qual foi convocada?

Enunciado 4377008-1
Enunciado 4377008-2

(Arquivo pessoal; imagens usadas com autorização)
 

Provas

Questão presente nas seguintes provas

Médico - Cardiologia Pediátrica

40 Questões