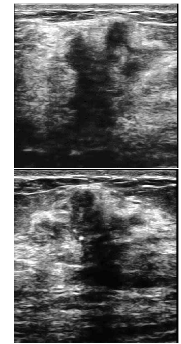
Uma paciente de 32 anos de idade procurou um médico ginecologista por ter palpado nódulo na mama direita. Ao exame das mamas, foi percebido nódulo endurecido, fixo aos planos adjacentes, com cerca de 3 cm de diâmetro. Foi realizada, então, mamografia, que revelou presença de lesão espiculada, com limites imprecisos, retração do parênquima adjacente e microcalcificações pleomórficas agrupadas. O exame ultrassonográfico evidenciou a lesão representada na forma gráfica na figura abaixo.

A respeito dessa situação hipotética, julgue os itens de 75 a 80.
Segundo a classificação do BI-RADS ultrassonográfico, essa imagem poderia ser enquadrada na categoria IV-b.