Magna Concursos
3127458 Ano: 2023
Disciplina: Medicina
Banca: UPENET/IAUPE
Orgão: SES-PE

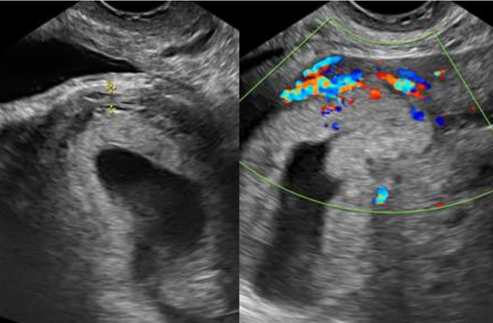
Paciente, 32 anos, secundigesta (cesariana anterior), na 6ª semana de gravidez com queixa de sangramento genital há 20 dias, com piora há 12 horas. Ao exame encontrava-se com estado geral bom, hipocorada (+/4+), acianótica, consciente e orientada. Pressão arterial de 120 x 80 mmHg. Frequência cardíaca de 98 bpm. Abdome plano depressível e indolor, sem massas palpáveis e ausência de sinais de irritação peritoneal.

Submetida a exame ultrassonográfico transvaginal com a imagem abaixo, revelando saco gestacional dentro de cavidade uterina, de contorno regular, em topografia de istmocele.

Enunciado 3531639-1

Assinale a alternativa a qual sugere possível complicações relacionada a principal diagnóstica:

 

Provas

Questão presente nas seguintes provas