Magna Concursos
3044926 Ano: 2021
Disciplina: Medicina
Banca: QUADRIX
Orgão: ISCMSP

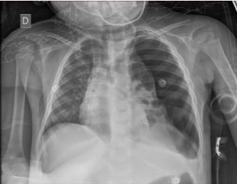
Uma paciente de dois anos de idade foi levada ao serviço de emergência com história de estar tratando uma pneumonia com cefalexina há quatro dias e, há um dia, vir apresentando piora do estado geral, prostração e inapetência. Ao exame, paciente em mau estado geral, agitada, toxemiada, afebril, com FC de 140 bpm, FR de 50 ipm, sat. de O2 de 85% em nebulização, PA de 80 x 45 mmHg, MV presente bilateralmente e diminuído à esquerda, tempo de enchimento capilar de 3 segundos e pulsos periféricos finos. Decidiu-se intubar a paciente e, durante a preparação do material e das drogas pela equipe da enfermagem, estabeleceu ventilação com bolsa-valva-máscara. Após alguns minutos, ainda antes do procedimento, a paciente iniciou crise de tosse, com FC de 180 bpm, FR de 65 ipm, sat. de O2 de 78% em ventilação com bolsa-valva-máscara e PA de 60 x 30 mmHg. A radiografia realizada na sala de emergência segue abaixo.

Enunciado 3511092-1

Com base nesse caso hipotético, assinale a alternativa que apresenta a conduta mais indicada no momento.

 

Provas

Questão presente nas seguintes provas

Residência em Medicina - Acesso Direto

100 Questões