Paciente do sexo masculino de 47 anos dá entrada no pronto-socorro com quadro de febre alta de até 40 graus, há 3 dias, seguido por confusão mental e alterações de comportamento há 1 dia.
Familiares referem que o paciente em questão começou a esmurrar a parede sem propósito, além de ficar se encarando no espelho durante horas a fio.
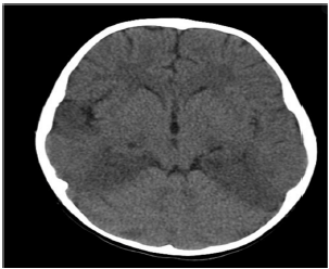
Ao exame neurológico, agitado, Glasgow 14, sem déficits focais, mas com discurso desconexo. Realizada TC de crânio:

Realizado, ainda, exame de líquor, com os seguintes achados: glicose 55, proteínas 70, células 52 (predomínio linfo-mono), bacterioscópio negativo.
A conduta adequada para o manejo desta condição é