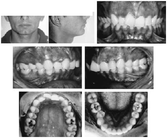
Um paciente apresenta má oclusão em que há envolvimento esquelético, por ter uma idade fora do período de crescimento. Os procedimentos ortopédicos, nesse paciente, são contra-indicados. Além disso, o paciente refutou a idéia de tratamento ortocirúrgico, restando apenas a possibilidade de compensação dentária, com risco de prejuízo estético. As ilustrações e os dados a seguir são referentes a esse paciente.

- discrepância de modelo do arco inferior: -4,00 mm
- discrepância de modelo do arco superior: -9,00 mm

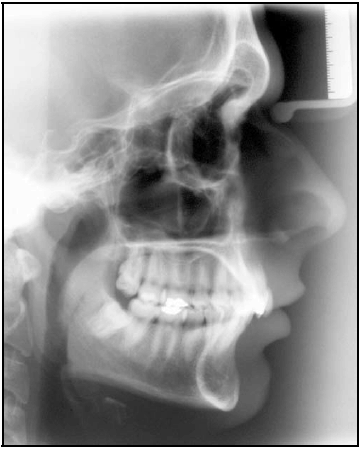
| grandezas | norma | paciente |
| SNA | 82º | 80º |
| SNB | 80º | 74º |
| ANB | 2º | 6º |
| WITS | -1 mm | +8 mm |
| SNGoGn | 32º | 24º |
| FMA | 25º | 22º |
| ENAENP.GoMe | 25º | 14º |
| 1.NA | 22º | 19º |
| 1-NA | 4 mm | 2 mm |
| 1.NB | 25º | 27º |
| 1-NB | 4 mm | 4 mm |
| Pog-NB | 2,5 mm | 3 mm |
| FMIA | 68º | 56º |
| IMPA | 87º | 107º |
| H.NB | 12º | 13º |
| H-Nariz | 9-11 mm | 6 mm |
| ângulo nasolabial | 110º | 127º |
| S-Go × 100% / N-Me | 62% a 65% | 71% |
Com relação à situação hipotética apresentada, julgue o item a seguir.
Caso se opte pela extração de dois pré-molares superiores, o tipo de ancoragem requerido é do tipo moderado para mínimo.
Provas
Questão presente nas seguintes provas