Magna Concursos
267817 Ano: 2007
Disciplina: Farmácia
Banca: CESPE / CEBRASPE
Orgão: Pref. Vitória-ES

Texto para as questões de 36 a 42

De acordo com dados epidemiológicos recentes, cerca de 8% da população brasileira entre 30 e 69 anos de idade é portadora de diabetes. Esse índice aumenta para 17% para os brasileiros com mais de 60 anos de idade. Como uma significativa proporção de diabéticos do tipo 2 é formada por assintomáticos ou oligossintomáticos, o diagnóstico da doença é, em geral, feito tardiamente. Assim, complicações macro e microvasculares estão freqüentemente presentes quando se detecta a hiperglicemia. Entre as alterações microvasculares, a retinopatia e a nefropatia constituem as principais causas de perda visual e de diálise. A neuropatia periférica e o comprometimento vascular periférico causado pela macroangiopatia e o surgimento de infecções favorecem o aparecimento de úlceras do chamado pé diabético.

Enunciado 267817-1

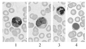
Indivíduos diabéticos apresentam, em algumas situações, maior suscetibilidade a infecções. Por isso, são realizadas freqüentemente análises hematológicas para investigação dessas condições. Nas figuras acima, são mostradas células encontradas em diversos tipos de estudos hematológicos. Com base nessas informações e naquelas apresentadas no texto e considerando as análises hematológicas relacionadas às infecções, assinale a opção correta.

 

Provas

Questão presente nas seguintes provas