Magna Concursos
823184 Ano: 2012
Disciplina: Medicina
Banca: VUNESP
Orgão: PM-SP

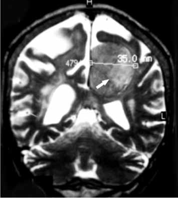
Paciente com 60 anos de idade se apresenta com quadro de cefaleia moderada há 3 meses, e há 15 dias discreta redução da atenção, moderada hemiparesia direita e vertigens. Não tem antecedentes mórbidos; o exame clínico é normal e o exame neurológico confirma os achados. A ressonância magnética é apresentada a seguir.

enunciado 823184-1

Com esses elementos, qual a sua primeira impressão diagnóstica?

 

Provas

Questão presente nas seguintes provas