Magna Concursos
1909811 Ano: 2019
Disciplina: Medicina
Banca: IBFC
Orgão: Pref. Candeias-BA
Provas:

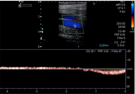
Paciente do sexo feminino, 65 anos, hipertensa, com queixa de dor e edema nos membros inferiores há cerca de 10 anos. Em consulta com o médico Cirurgião Vascular, foi solicitado exame ultrassonográfico com Doppler para mapeamento venoso dos membros inferiores. A imagem abaixo representa um segmento da veia femoral direita, durante manobra de aumento da pressão intra-abdominal e também em repouso (vide gráfico espectral).

Enunciado 1909811-1

Assinale a alternativa que contém o correto diagnóstico para este segmento venoso.

 

Provas

Questão presente nas seguintes provas

Médico - Radiologia

40 Questões