Magna Concursos
2173708 Ano: 2021
Disciplina: Medicina
Banca: VUNESP
Orgão: EsFCEx

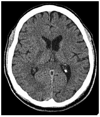
Observe a imagem e assinale a alternativa que indica qual é o local acometido pelo evento isquêmico.

Enunciado 2173708-1

 

Provas

Questão presente nas seguintes provas

CFO-SSau - Médico/Radiologia

60 Questões