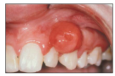
Observe a imagem a seguir.

As características histopatológicas dessa lesão são: proliferação de fibroblastos associada à formação de material
mineralizado. O componente fibroblástico profundo é celular especialmente nas áreas de mineralização. Qual lesão é
esta?