Paciente masculino, 52 anos, hipertenso e tabagista, deu entrada em um Pronto-Socorro Hospitalar, na
região leste de São Paulo, com dificuldade de respirar
e muito cansaço. Relatou que foi tratado há 20 dias de
uma pneumonia e que fez corticoterapia de 07 dias.
Todavia, não apresentando melhoras, este retornou à
unidade.
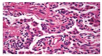
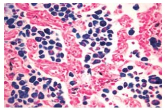
Foi solicitada uma tomografia, que demonstrou opacidades em vidro despolido com predomínio nas bases e periferia do parênquima pulmonar. Os exames laboratoriais não acusaram patógeno viral ou bacteriano, e o paciente foi submetido a um exame de biópsia pulmonar. A amostra cirúrgica foi recebida previamente fixada em formol tamponado a 4% e submetida ao processamento da análise com inclusão total do material. As secções obtidas foram coradas utilizando hematoxilina e eosina.
Legenda: Espessamento de septos com infiltrado inflamatório.
Legenda: Macrófagos com ferro.
(Laboratório de Anatomia Patológica do Centro Universitário FMABC. Imagem usada com autorização)
O diagnóstico de DIP (pneumonia intersticial descamativa) foi feito correspondendo à clínica de pulmão do tabaco. O parênquima pulmonar demonstra presença de macrófagos intra-alveolares, multinucleados e com pigmento granular castanho contendo ferro, que é demonstrado pela técnica
Foi solicitada uma tomografia, que demonstrou opacidades em vidro despolido com predomínio nas bases e periferia do parênquima pulmonar. Os exames laboratoriais não acusaram patógeno viral ou bacteriano, e o paciente foi submetido a um exame de biópsia pulmonar. A amostra cirúrgica foi recebida previamente fixada em formol tamponado a 4% e submetida ao processamento da análise com inclusão total do material. As secções obtidas foram coradas utilizando hematoxilina e eosina.
Legenda: Espessamento de septos com infiltrado inflamatório.
Legenda: Macrófagos com ferro. (Laboratório de Anatomia Patológica do Centro Universitário FMABC. Imagem usada com autorização)
O diagnóstico de DIP (pneumonia intersticial descamativa) foi feito correspondendo à clínica de pulmão do tabaco. O parênquima pulmonar demonstra presença de macrófagos intra-alveolares, multinucleados e com pigmento granular castanho contendo ferro, que é demonstrado pela técnica
Provas
Questão presente nas seguintes provas
Médico - Patologia Clínica/Medicina Laboratorial
50 Questões