
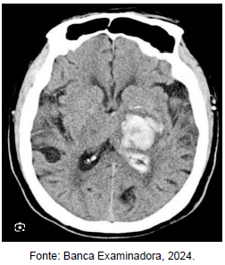
Paciente, 67 anos, hipertenso prévio, dá entrada no pronto atendimento com quadro súbito de hemiparesia esquerda, com a tomografia ilustrada na figura acima, e PA de 180x120 mmHg. Diante do quadro é correto afirmar que:

Paciente, 67 anos, hipertenso prévio, dá entrada no pronto atendimento com quadro súbito de hemiparesia esquerda, com a tomografia ilustrada na figura acima, e PA de 180x120 mmHg. Diante do quadro é correto afirmar que: