Magna Concursos
2708432 Ano: 2023
Disciplina: Medicina
Banca: IMAIS
Orgão: Pref. Santana Parnaíba-SP
Provas:

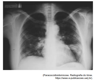
Analise a radiografia abaixo para responder à questão.

Enunciado 3423510-1

A radiografia demonstra, notadamente,
 

Provas

Questão presente nas seguintes provas

Médico - Pneumologia

40 Questões