
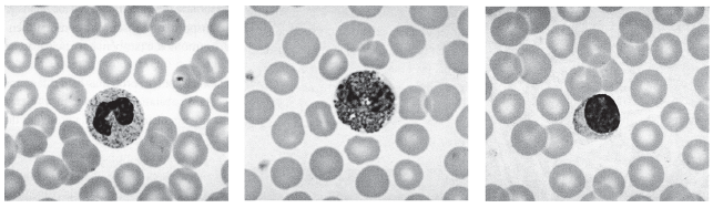
Fotografias de um esfregaço sanguíneo.
A morfologia do núcleo e granulações citoplasmáticas são critérios para a identificação das células brancas do sangue, os leucócitos.

Fotografias de um esfregaço sanguíneo.
A morfologia do núcleo e granulações citoplasmáticas são critérios para a identificação das células brancas do sangue, os leucócitos.