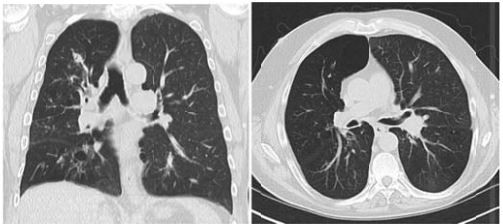
Mulher, 51 anos, caminhada para investigação de pneumonia de repetição. Relata crises compatíveis com asma brônquica, com tosse persistente. Há oito meses apresentou sintomas de dor pleurítica no lado esquerdo, tosse e discreta expectoração, tratada com antibióticos. Há seis meses, radiograma de tórax mostrou infiltrado peri-hilar no pulmão direito e sinais de broqictasia central, tratava com lavofloxacina por 21 dias. Após dois meses, novo estudo radiológico mostrava que o infiltrado permanecia . Antecedentes pessoais: alergia a vitamina B, otite crônica supurativa e hipotireoidismo subclínico. Pneumonia de pulmão D aos 29 anos. Nega tabagismo ou etilismo. Exame físico: sem alterações. Exames laboratoriais: Hemograma: hemoglobina 11 g/dL; hematócrito 35%; leucócitos 9.300/mm³ (60% segmentados, 20 % linfócitos, 7% monócitos, 13% eosinófilos); VHS 53mm. Imunoglobulinas: total 146 mg/dL; IgA 134mg/dL; IgM 153mg/dL; IgG 817mg/dL. Sub-classes de IgG: IgG3 no limite inferior de normalidade. Espirometria: CVF 3.700mL (116%), VEF1 2.600mL (103%), índice de tiffenau de 70%. Tomografia computadorizada de tórax:

A hipótese diagnostica e tratamento são: