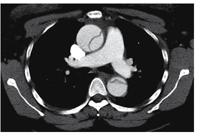
Homem de 49 anos é atendido no pronto-socorro com o relato de dor súbita e intensa no tórax anterior há cerca de 1 hora. O histórico é notável para tabagismo e hipertensão arterial, em uso de enalapril e clortalidona. Nega uso de drogas ou álcool. Ao exame físico: ele encontra-se pálido, sudorético, ansioso, agitado, referindo dor intensa no tórax anterior e posterior; pressão arterial: 194 x 115 mmHg; pulso: 1155 bpm; oximetria de pulso: normal. Glicemia capilar: 125 mg/dL. ECG sem indícios de isquemia. Analgesia intravenosa é prescrita e a angiotomografia de tórax realizada é mostrada a seguir.

Admitindo-se que não há contraindicações, nesse momento, o tratamento parenteral inicial é com