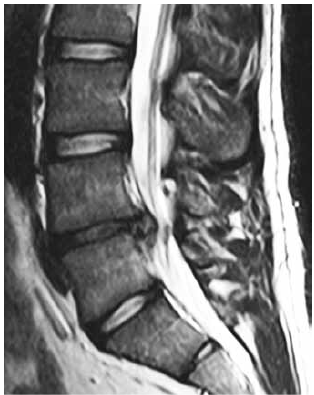
Observe a imagem a seguir.

Uma hérnia de disco lombar em segmento L4-L5 que ocorre em paciente jovem, com quadro agudo de forte ciática para MID, apresentando boa marcha após uso de AINES, mas paresia na extensão do hálux D e na dorsiflexão do pé, tem como melhor conduta: