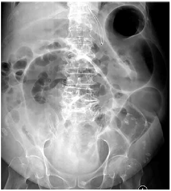
Mulher de 85 anos, com histórico de demência, é tratada com antibiótico oral para infecção urinária. Cerca de 5 dias depois, ela evolui com queda do estado geral e diarreia aquosa. Exame físico: desidratada 3+/4; pressão arterial: 92 x 58 mmHg; frequência cardíaca: 105 bpm; cardiopulmonar sem alteração relevante; abdome: distendido com dor difusa à palpação e redução dos ruídos intestinais; toque retal sem melena ou hematoquezia. Exames séricos: hemoglobina: 12,1 g/dL; leucócitos: 12 200/mm3; plaquetas: 254 000/mm3; proteína C reativa muito elevada; creatinina: 1,3 mg/dL. Hemoculturas são coletadas, assim como exames fecais. A radiografia de abdome é mostrada a seguir.

Considerando a principal hipótese diagnóstica, além de expansão volêmica, o tratamento inicial recomendado é