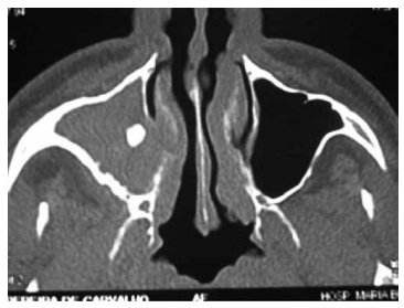
Paciente com obstrução nasal e rinorreia purulenta há 4 meses realiza a tomografia computadorizada (TC) a seguir. Assinale a alternativa correta com relação à principal hipótese diagnóstica.

Paciente com obstrução nasal e rinorreia purulenta há 4 meses realiza a tomografia computadorizada (TC) a seguir. Assinale a alternativa correta com relação à principal hipótese diagnóstica.
