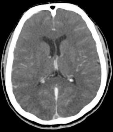
Paciente de 25 anos, sexo feminino, previamente hígida, fazendo uso apenas de anticoncepcional oral, é internada em uma unidade de urgência com cefaleia de forte intensidade, refratária ao tratamento medicamentoso. Realizou exame de imagem (Tomografia computadorizada de crânio com contraste) que demonstrou o seguinte achado:

Assinale a alternativa que apresenta o diagnóstico mais provável baseado na história clínica e achado de imagem.