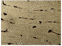
A imagem abaixo representa o tecido ósseo visto em um microscópio óptico com um aumento de 400 x.

Sobre o tecido apresentado na imagem, analise as seguintes afirmativas:
I- É um tecido avascular.
II- Contém células vivas denominadas osteócitos, osteoblastos e osteoclastos.
III- A matriz extracelular contém fosfato de cálcio responsável pela rigidez do osso.
Assinale a afirmativa correta:
Provas
Questão presente nas seguintes provas
Técnico de Laboratório - Química e Biologia
50 Questões