Responda à questão com base no caso clínico a seguir.
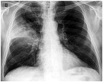
Paciente masculino de 69 anos dá entrada no pronto -socorro com queixa de tosse e expectoração amarelada há 4 dias. Relata febre alta não aferida, calafrios e sudorese noturna. Relata dois episódios de fezes líquidas no período. Nega cefaleia, disúria ou lesões de pele. Refere diabetes mellitus e hipertensão arterial sistêmica com tratamento irregular. Tabagista com carga tabágica de 30 maços/ano.
Ao exame, encontra-se em REG, consciente e orientado, desidratado ++/4+; temperatura axilar 38 oC; FR 22 irpm, PA 120 x 70, ritmo cardíaco regular em 2 tempos sem sopros; FC 124 bpm, MV presente com EC em base e 1/3 médio HTD, saturação O2 92% em ar ambiente, dextro 340 mg/dL.
RX de tórax:

O uso rotineiro de corticosteroide estaria indicado caso apresente doença