O caso clínico a seguir refere-se à questão.
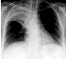
Homem, 37 anos de idade, etilista há 15 anos (2 litros de cerveja, 4 vezes por semana), foi levado ao pronto-socorro devido a febre, náusea, vômitos e desconforto respiratório há um dia. Exame físico: confuso, agitado e agressivo; PA: 160 x 105 mmHg, FC: 115 bpm, FR: 24 ipm, temperatura: 38,1 ºC e saturação de O2: 89%; abdome: fígado palpável a 6 cm do RCD. Radiografia de tórax mostrada a seguir.

Admitindo-se que a glicemia capilar (dextro) foi de 35 mg/dL, é correto prescrever