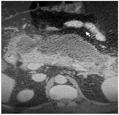
Um paciente de 78 anos de idade queixa-se de dor abdominal aguda em epigástrio e flanco direito há vinte dias. Já procurou dois serviços anteriormente, sendo que, no primeiro, ficou internado por cinco dias e recebeu o diagnóstico de colecistite aguda e, no segundo, foi observado um problema no pâncreas (SIC). Não tem consigo nenhum documento oficial. Chegou ao pronto-socorro com dor em epigástrio (4/10), desidratado, descorado, anictérico e afebril. Apresentava massa palpável em epigástrio,sem sinais de irritação peritoneal. Exames laboratoriais revelaram: hemoglobina de 11 mg/dl; leucócitos de 14.000; glicemia de 108; amilase de 92; e lipase de 72. Realizou, também, a tomografia abdominal com contraste mostrada no corte abaixo.

Com base nesse caso hipotético, assinale a alternativa correta.