Magna Concursos
2094244 Ano: 2021
Disciplina: Medicina
Banca: RBO
Orgão: Pref. Belo Horizonte-MG

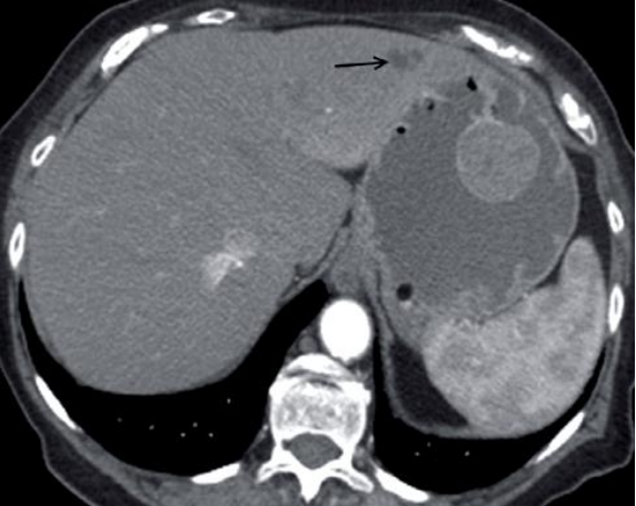
Observe a imagem abaixo. Paciente apresenta perda de peso, dor epigástrica e anemia.

Enunciado 2094244-1

Diante do exposto, é INCORRETO afirmar que

 

Provas

Questão presente nas seguintes provas