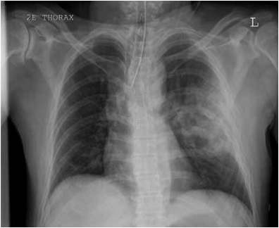
Paciente de 18 anos, vítima de trauma, apresenta o r-X ilustrado a seguir.

Nesse momento, é recomendável
Provas
Questão presente nas seguintes provas
Paciente de 18 anos, vítima de trauma, apresenta o r-X ilustrado a seguir.

Nesse momento, é recomendável