Magna Concursos
747607 Ano: 2019
Disciplina: Medicina
Banca: FCC
Orgão: Pref. São José Rio Preto-SP

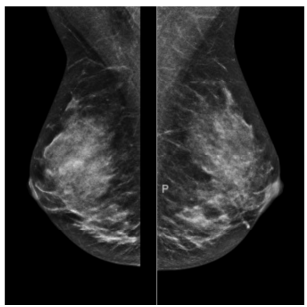
Considere as imagens da mamografia abaixo.

Enunciado 747607-1

É possível afirmar que são imagens na posição

 

Provas

Questão presente nas seguintes provas

Médico - Ginecologia e Obstetrícia

50 Questões