Homem, 27 anos de idade, foi admitido no Serviço de Emergência após colisão de automóvel contra anteparo fixo.
A: via aérea pérvia. Saturação de oxigênio de 92% em ar ambiente
B: dor à palpação do tórax à direita na região inferior e linha axilar média. Hematoma e crepitação no local da dor
C: FC:90bpm e PA: 130x70mmHg.
D: Glasgow de 15. Pupilas sem alterações
E: Diurese clara. Dorso sem alterações. Abdome indolor a palpação.
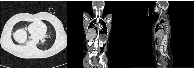
Realizada tomografia de abdome demonstrada a seguir:

Qual é a melhor conduta?
Provas
Questão presente nas seguintes provas
Residência Médica - s Básicas e Acesso Direto
100 Questões