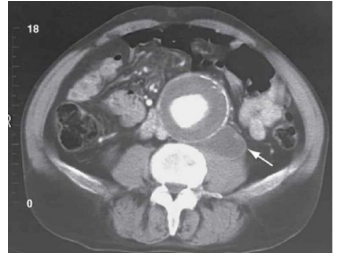
Paciente masculino, 70 anos, tabagista e hipertenso, com histórico
de revascularização miocárdica há 5 anos, deu entrada no serviço
de emergência com dor abdominal com irradiação dorsal de início
agudo há duas horas, sensação de plenitude, sem melhora com
uso de analgésico.
Realizada tomografia que reproduziu a seguinte imagem:

Com base no quadro clínico e na imagem, assinale a opção que apresenta o diagnóstico mais provável para o caso.
Realizada tomografia que reproduziu a seguinte imagem:

Com base no quadro clínico e na imagem, assinale a opção que apresenta o diagnóstico mais provável para o caso.