Magna Concursos
1458909 Ano: 2007
Disciplina: Biologia
Banca: CESPE / CEBRASPE
Orgão: SEDUC-MT

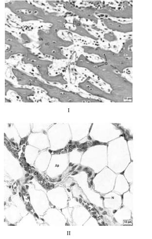
enunciado 1458909-1

Assinale a opção que, respectivamente, melhor expressa as funções dos tecidos ilustrados nas fotomicrografias I e II.

 

Provas

Questão presente nas seguintes provas

Professor da Educação Básica - Biologia

50 Questões