Magna Concursos
2200326 Ano: 2022
Disciplina: Medicina
Banca: DIRENS Aeronáutica
Orgão: CIAAR
Provas:

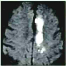
Analise a imagem abaixo, que apresenta uma ressonância.

Essa ressonância é característica de:

Enunciado 3327126-1

Fonte: Banca examinadora.

 

Provas

Questão presente nas seguintes provas

CAMAR - Medicina/Neurologia

60 Questões