VALORES DE REFERÊNCIA | |||
Hb (hemoglobina) | 12-14 g/dL | Tempo protrombina (TP) | 11-12,5 seg. |
Ht (hematócrito) | 35-49% | Tempo de tromboplastina ativada (TTPA) | 30-43 seg. |
HCM | 26-34 g/L | R | < 1,2 |
VCM | 78-100fl | RNI | < 1,25 |
Reticulócitos | 25.000 – 75000 mm³ 0,5 – 1,5% | ||
Leucócitos | 5.000 – 10.000 mm³ | Eletroforese de hemoglobina | HbA1 > 95% HbA2 1,5 – 3,7% Hb fetal < 2% |
Plaquetas | 150.000 a 4000.000mm³ | ||
AST | 10-30 U/L | ||
Proteinúria | < 0,15g/24h | ALT | 10-40 U/L |
Fosfatase Alcalina | Homem 40 – 129 U/L Mulher 35 – 104 U/L | ||
Gama-GT | 7-50 UI/L | ||
Bilirrubina total | 0,2- 1,0 mg/dl | ||
Bilirrubina direta | 0,1 – 0,4 mg/dl | ||
Colesterol total | < 200mg/dL | Sódio | 135 – 145 mEq/L |
HDL colesterol | > 40 mg/dL | Potássio | 3,5 – 5,5 mEq/L |
LDL colesterol | < 130 mg/dL | Cálcio | 8,4 – 10 mg/dL |
Triglicérides | < 160 mg/dL | Cloreto | 98 – 106 mMol/L |
TIBC | 242 – 450 µg/dL | Lactato | 0,5 – 1, 6 mMol/L |
Ferro sérico | 30 – 160 µg/dL | Glicemia | 74-99 mg/dL |
Ferritina | 23-336ng/mL homen 11-306 ng/mL mulher | FSH | 5 – 30 mi/mL |
LH | 5 – 25 mUI/mL | ||
Albumina | 3,5- 4,7 g/dL | Prolactina | 2 – 29 ng/mL |
TSH | 0,38-5,33 µUI/mL | ||
T4 livre | 0.9 – 1,8ng/dL | ||
Complemento C3 | 90-170mg/dL | ||
Lactatodesidrogenase | 140-271 U/L | PCR ultrasensível | < 0.3 mg/dL |
Creatinofosfoquinase (CK) | Homem < 171 U/L Mulher < 145 U/L | ||
Creatinina | 0,4 – 1,2 mg/dL | ||
Ureia | 15 – 45 mg/dL | ||
Haptoglobina | 30 – 230 mg/dL | ||
Gasometria arterial | pH 7,35 – 7,45 PO2 83 – 108 mmHg PCO2 32 – 48 mmHg HCO3 19 – 24 mmmol/L BE -2 – 3 mmol/L | Hemoglobina glicada (HbA1c) | Ate 6% |
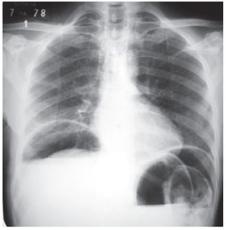
Homem, 41a, relata que há 1 hora apresentou dor súbita de forte intensidade, tipo pontada, no epigástrio, que irradiou para todo abdome. Refere náusea. Nega febre ou sintomas respiratórios. Exame físico: PA=128x76mmHg, FC= 102bmp, FR= 16irpm, oximetria de pulso (ar ambiente)= 99%, corado, hidratado e acianótico; Abdome: plano, tenso, doloroso à digitopercussão e à palpação superficial e profunda, com descompressão brusca dolorosa presente. Radiograma simples de abdome ortostático:

A CONDUTA É: