Leia o texto para responder a questão.
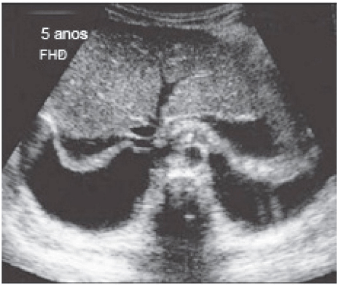
A febre do dengue hemorrágico (FDH) é uma arbovirose responsável por epidemias anuais no Brasil. Sua principal característica é o aumento da permeabilidade capilar, representada pela fuga de líquido e albumina para o espaço extravascular, levando a derrames cavitários e hemoconcentração com elevação do hematócrito, descrita como polisserosite, classificada em formas leves e graves, segundo critérios da Organização Mundial da Saúde. Embora os achados à ultrassonografia sejam inespecíficos, o método contribui para o diagnóstico precoce em pacientes com FHD e no diagnóstico diferencial de outras doenças febris.
Considerando as informações abaixo, assinale a alternativa correta quanto à principal hipótese diagnóstica da imagem ultrassonográfica apresentada.
