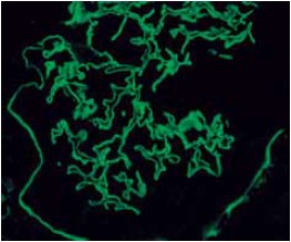
As glomerulonefrites rapidamente progressivas (GNRP) podem ser classificadas de acordo com os achados de imunofluorescência na biopsia renal.
Assinale a alternativa que apresenta corretamente a doença que apresenta um padrão de depósitos lineares semelhante ao da figura a seguir.

(Arquivo pessoal; imagem usada com autorização.)