Magna Concursos
1829658 Ano: 2010
Disciplina: Medicina
Banca: CRSP PMERJ
Orgão: PM-RJ
Provas:

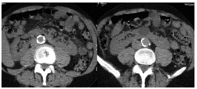
Paciente adulto, jovem, com trauma abdominal e hematúria, realizou exame de TC sem contraste.

enunciado 1829658-1

Correlacionando com a imagem disponibilizada, marque a relação verdadeira.

 

Provas

Questão presente nas seguintes provas

1° Tenente - Radiologia

50 Questões