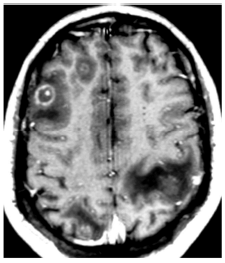
Um homem de 24 anos, portador de infecção por HIV é investigado por apresentar história de febre e rebaixamento do nível de
consciência. A ressonância nuclear magnética mostrou:

Foi realizado um mapeamento cerebral com Thallium-201 que foi negativo para captação do isótopo. Esses achados, somados aos dados epidemiológicos do Brasil permitem afirmar, com alta probabilidade, tratar-se de

Foi realizado um mapeamento cerebral com Thallium-201 que foi negativo para captação do isótopo. Esses achados, somados aos dados epidemiológicos do Brasil permitem afirmar, com alta probabilidade, tratar-se de