
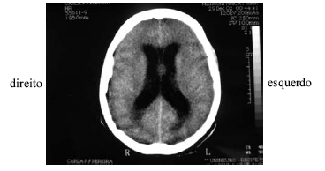
Uma professora de 21 anos de idade apresentou crise convulsiva na fazenda onde dava aulas e, por falta de transporte, somente após quatro horas foi levada ao hospital geral. Ao chegar ao hospital apresentava a seguinte pontuação na escala de coma de glasgow: resposta visual — 3/4, verbal — 3/5 e motora — 4/6. A família revelou que a paciente estava cada vez mais sonolenta e negou sintomas, tais como febre, cefaléia, náuseas, vômitos ou crises epilépticas prévios ao quadro. Foi realizada tomografia de crânio, cujo resultado é mostrado na figura acima, mas não havia neurologista no hospital naquele momento.
No caso hipotético apresentado, a conduta mais prudente consistiria em