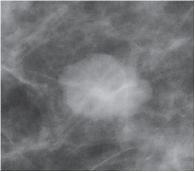
Paciente de 64 anos, sem história familiar de câncer de mama, sem queixas mamárias, comparece ao consultório com resultado de mamografia de rastreamento. Antecedentes: mamoplastia redutora há 20 anos. O laudo não apresenta classificação segundo BI-RADS, mas descreve nódulo oval, hiperdenso, margens microlobuladas, medindo 1,0x0,8cm em quadrante superolateral da mama esquerda. Ao exame físico: mamas médias sem alterações palpáveis. Abaixo imagem do exame. Assinale a alternativa que apresenta qual a melhor conduta para seguimento do caso.

Figura 1. Lesão em mamografia de rastreamento.