Leia o enunciado a seguir e responda à questão.
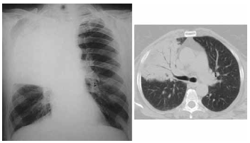
Paciente do sexo masculino, 42 anos, tabagista, etilista de 1 litro de destilado por dia, procura atendimento médico com queixa de tosse com expectoração esverdeada há cerca de 6 dias. Associado ao quadro relata inapetência, febre de até 40 graus concomitante a calafrios e tremores. Encontra-se, ao exame físico, desidratado, taquipneico leve, PA 120x70 mmHg, FC 102 bpm, temperatura = 38 ºC e saturação de O2 = 90%. Realizadas radiografia de tórax e tomografia computadorizada de tórax que estão ilustradas a seguir.

O agente etiológico mais provável envolvido no diagnóstico desse paciente é o(a)