Magna Concursos
1129088 Ano: 2019
Disciplina: Medicina
Banca: UFRN
Orgão: Pref. Parnamirim-RN

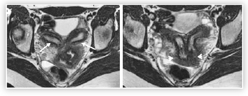
O exame abaixo representa o resultado de uma ressonância magnética pélvica .

enunciado 1129088-1

A imagem assinalada, pelas setas é sugestiva de

 

Provas

Questão presente nas seguintes provas

Médico - Ginecologia e Obstetrícia

35 Questões